Skip to content
Pedir Cita
Caso de estudio
La historia de

Maria Garcia Bermudez

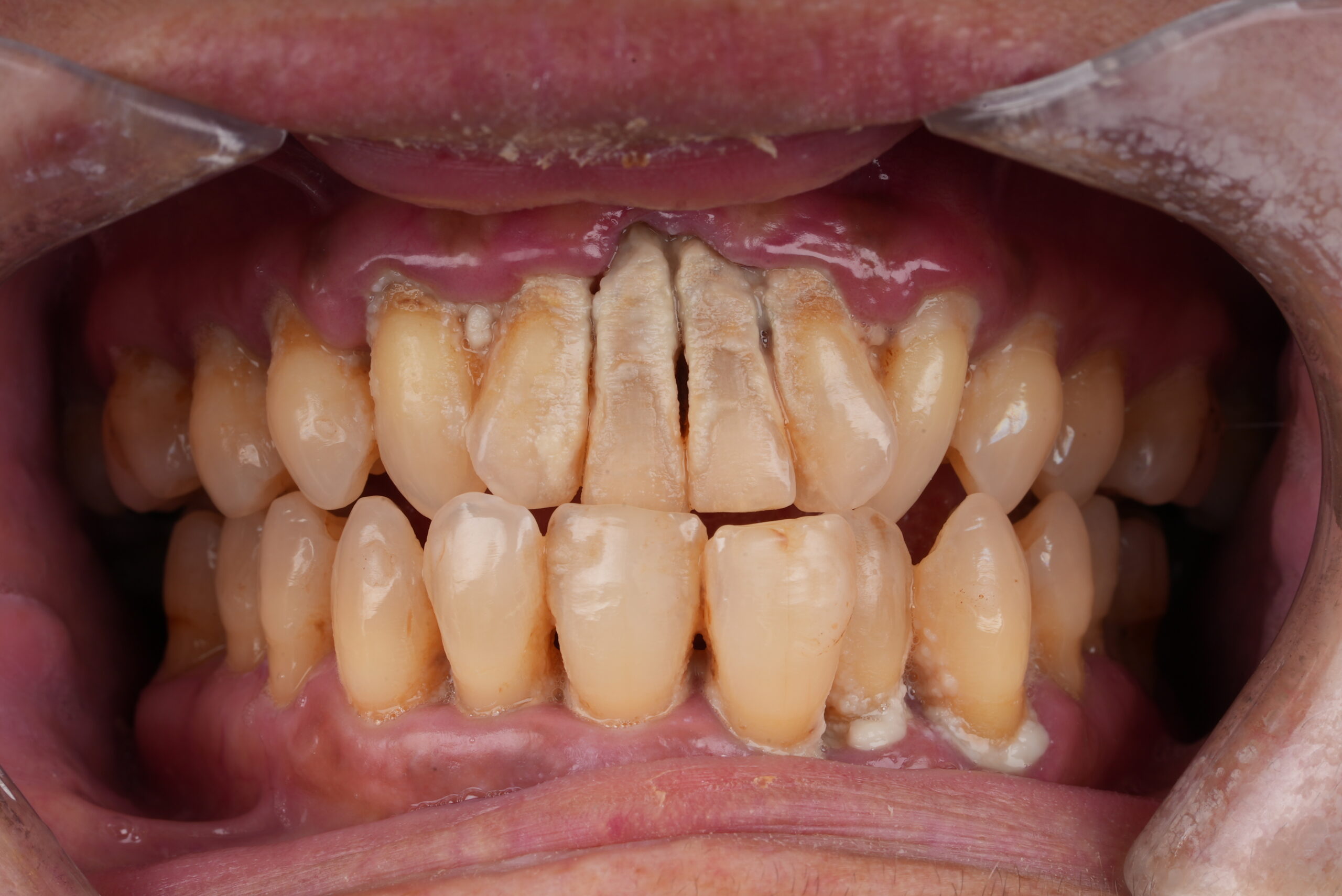
A pesar de conservar todas sus piezas dentales, María sufría una enfermedad periodontal de origen genético. La movilidad de sus dientes y las molestias crecientes la llevaron a buscar una solución definitiva. Hoy disfruta de una sonrisa sana y estable.

Cirurgia
Diagnóstico Diagnóstico
  1. Enfermedad periodontal avanzada
  2. Movilidad de piezas
  3. Pérdida ósea considerable
  4. Retracción de encías
  5. Ausencia de varias piezas
  6. Presencia de caries extensas
Solución Solución
Extracción de todas las piezas dentales

Extracción de todas las piezas dentales

Colocación de implantes dentales

Colocación de implantes dentales

Prótesis fija de cerámica sobre 6 implantes en arcada superior e inferior

Prótesis fija de cerámica sobre 6 implantes en arcada superior e inferior

Resultados Resultados
Antes del tratamiento Sorriso depois do tratamento

recuperacion de la salud bucodental, para ejercer una correcta masticación. Consigueindo unos resultados esteticos increiblemnte naturales.

Pide tu cita