Skip to content
Pedir Cita
Caso de estudio
La historia de

Karine Maeck

Karine viajó desde Marbella buscando una solución inmediata a sus problemas dentales. Después de visitar varias clínicas en Málaga y Marbella, decidió confiar en el Dr. Oliver por recomendación familiar. Su objetivo era claro: volver a sonreír como cuando tenía 18 años, sin necesidad de desplazarse constantemente. Lo consiguió.

Estética
Diagnóstico Diagnóstico
  1. Enfermedad periodontal avanzada
  2. Pérdida ósea significativa
  3. Desgaste del esmalte dental
  4. Pérdida de la capacidad masticatoria
Solución Solución
Saneamiento de encías y hueso

Saneamiento de encías y hueso

Extracción de piezas dentales dañadas

Extracción de piezas dentales dañadas

Colocación de coronas y puentes con composite brillante

Colocación de coronas y puentes con composite brillante

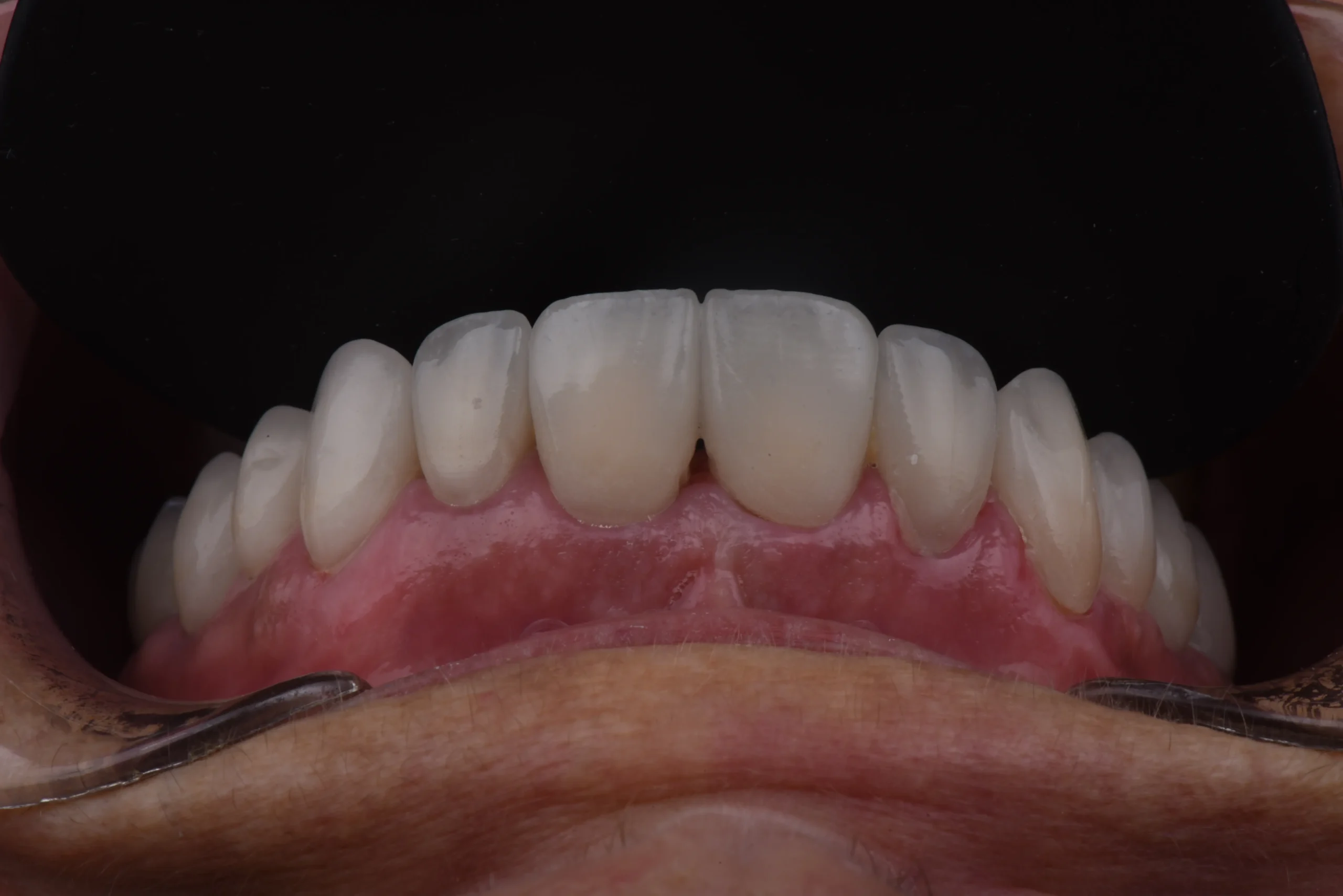
Resultados Resultados
Antes del tratamiento Sorriso depois do tratamento

Recuperacion de salud bucodental, con una sonrisa perfecta y brillante conservando sus piezas dentarias, relizando este tratamiento en tan solo 72horas todo ello gracias a nuestros protocolos digitales.

Pide tu cita