Skip to content
Pedir Cita
Caso de estudio
La historia de

Erica Redondo

Dedicada al marketing dental, Erica sabía bien la importancia de una sonrisa cuidada. Tras investigar en redes sociales y encontrar el estilo de carillas que más le gustaba, decidió dar el paso. El resultado superó sus expectativas.

Estética
Diagnóstico Diagnóstico
  1. Bruxismo severo
  2. Desgaste del esmalte dental
  3. Alteración en la posición dentaria
  4. Dolores articulares mandibulares y cefaleas
Solución Solución
Saneamiento de encías

Saneamiento de encías

Prótesis fija de cerámica y titanio sobre 6 implantes en el maxilar superior

Prótesis fija de cerámica y titanio sobre 6 implantes en el maxilar superior

Limpieza en el sector inferior

Limpieza en el sector inferior

Colocación de carillas de composite

Colocación de carillas de composite

Implantes dentales en sector inferior

Implantes dentales en sector inferior

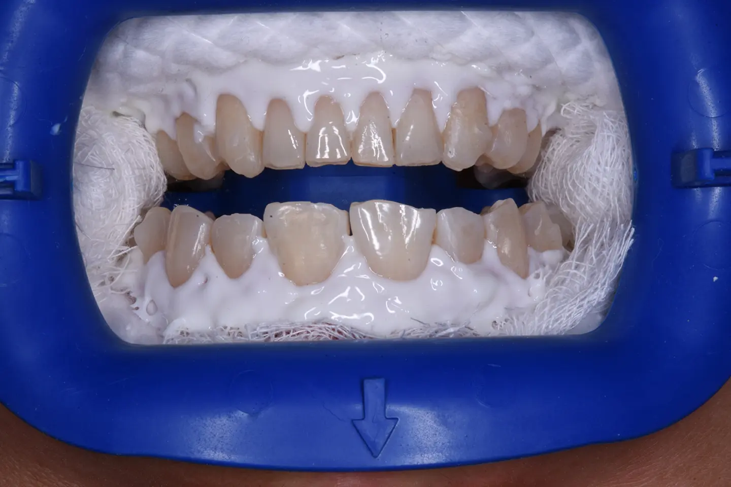
Resultados Resultados
Antes del tratamiento Sorriso depois do tratamento

Recuperacion de salud bucodental, con una sonrisa perfecta y brillante conservando sus piezas dentarias, relizando este tratamiento en tan solo 72horas todo ello gracias a nuestros protocolos digitales.

Pide tu cita